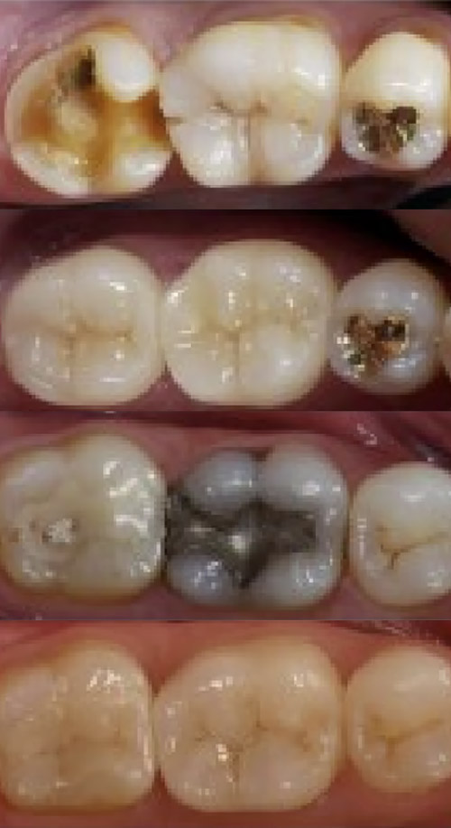
Inlays, Onlays
Inlays/Onlays are conservative methods of replacing missing tooth structure. Basically, they are fillings made out of porcelain that are bonded to your own tooth to restore your original design and structure. These restorations differs from regular white dental fillings, as they are constructed in one piece. We use our same day inlay/onlay process which is done with our in house technology to take a digital impression of the now clean and prepared tooth. We then scan the tooth to make a perfect piece of porcelain that will drop right into the prepared tooth. This is done in one visit. Why is this better than a normal white filling? Because we can make a superior contact to your adjacent tooth, reducing the change of food impaction and new cavities to form. You will enjoy the smooth filling while flossing and enjoy a restoration that is longer lasting than a normal filling. We recommend this type of a porcelain filling over a normal filling due to its superior qualities.
PLEASE GIVE US A CALL AT (786)516-2882 AND EXPERIENCE THE DENTALVANA DIFFERENCE!

